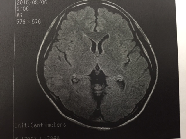
実は私、頭痛持ちなんです。最近の人は皆そうですよね。私は睡眠不足だし、不摂生で当然のことだと思います。私の場合は、閃輝暗点(せんきあんてん)といって眼がチカチカし始めると頭痛が酷くなるパターンです。昔からなので気にもしませんが、最近は本当に酷いです。なかなか病院に行く時間も取れず、ずっと我慢してましたが・・・限界。なんとか病院に行き検査をうけました。とても健康な脳でした。とても健康です。いつも通り偏頭痛という診断です。しっかり偏頭痛と向き合わないといけませんね。